치과소개
Vision
바른이치과 네트워크
바른사람들
병원둘러보기
진료시간 및 오시는길
바른이교정의 특별함
바른이의 치료 철학
커스텀 처방 브라켓
바른 기공실
바른 치아관리
교정프로그램
교정치료란?
교정치료가 필요한 경우
교정치료의 시기
증상별 프로그램
덧니
돌출입
성장교정
주걱턱
과개교합교정
개방교합교정
급속부분교정
반대교합교정
비대칭교정
무턱교정
재교정
매복치교정
장치별 프로그램
세라믹
데이몬클리어
인비절라인
설측교정
소아청소년교정
바른이 이야기
공지사항
교정 칼럼
치료후기
수가표
자주묻는질문
치료사례
ENG
로그인
회원가입
ENG
로그인
회원가입
진료시간/오시는길
상담하기
카톡상담
톡톡상담
치과소개
Vision
바른이치과 네트워크
바른사람들
병원둘러보기
진료시간 및 오시는길
바른이교정의 특별함
바른이의 치료 철학
커스텀 처방 브라켓
바른 기공실
바른 치아관리
교정프로그램
교정치료란?
교정치료가 필요한 경우
교정치료의 시기
증상별 프로그램
덧니
돌출입
성장교정
주걱턱
과개교합교정
개방교합교정
급속부분교정
반대교합교정
비대칭교정
무턱교정
재교정
매복치교정
장치별 프로그램
세라믹
데이몬클리어
인비절라인
설측교정
소아청소년교정
바른이 이야기
공지사항
교정 칼럼
치료후기
수가표
자주묻는질문
치료사례
치료사례
치료사례 카테고리
전체
덧니교정
돌출입교정
성장교정
주걱턱교정
과개교합교정
열린 분류
개방교합교정
급속부분교정
반대교합교정
비대칭교정
무턱교정
재교정
매복치교정
거미스마일
스페이스교정
부정교합
Total 10건
1 페이지
10
BEFORE
치료전 사진은
로그인후 확인하실 수 있습니다.
로그인
AFTER
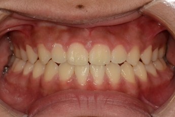
개방교합교정
9
BEFORE
치료전 사진은
로그인후 확인하실 수 있습니다.
로그인
AFTER
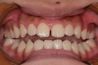
[비수술] 개방교합교정
8
BEFORE
치료전 사진은
로그인후 확인하실 수 있습니다.
로그인
AFTER
개방교합교정
7
BEFORE
치료전 사진은
로그인후 확인하실 수 있습니다.
로그인
AFTER
개방교합교정(1차치료)
6
BEFORE
치료전 사진은
로그인후 확인하실 수 있습니다.
로그인
AFTER
개방교합 교정
5
BEFORE
치료전 사진은
로그인후 확인하실 수 있습니다.
로그인
AFTER
개방교합교정
4
BEFORE
치료전 사진은
로그인후 확인하실 수 있습니다.
로그인
AFTER
개방교합 교정
3
BEFORE
치료전 사진은
로그인후 확인하실 수 있습니다.
로그인
AFTER
개방교합교정
2
BEFORE
치료전 사진은
로그인후 확인하실 수 있습니다.
로그인
AFTER
개방교합 교정
1
BEFORE
치료전 사진은
로그인후 확인하실 수 있습니다.
로그인
AFTER
개방교합교정 (치아기능에 문제가 있는 부정교합)
검색
검색대상
제목
내용
제목+내용
글쓴이
글쓴이(코)
검색어
필수
검색
닫기
공지사항
2025-09-10
10월 진료일정안내
2025-08-14
9월 진료일정안내
2025-07-21
8월 진료일정안내
교정칼럼
2023-11-08
제 56회 대한치과교정학회 스태프…
2023-08-10
2023년 호사교정연구회 창립 1…
2022-11-22
2022년 투명 교정치료의 원리와…
온라인상담
2025-10-12
교정궁금해요
2025-09-18
원장님께 상담 요청 드립니다
2024-09-06
원장님께
바른이
치과교정과
064.746.7570
진료시간/오시는길
상담하기
카톡상담
톡톡상담