세상에 하나뿐인
당신을 위한 교정치료
바른이치과교정과
네트워크
바른이치과교정과 교정전문의 11명이 함께 소통하여
정확한 진단과
최적의 치료 계획 수립을 목표로 진행하는
‘교정 통합진단시스템’입니다.
당신의 바른 치아를 위해
11명의 지혜와 경험들을 모아 진료합니다.
소중한 당신을 위한
훌륭한 교정치료를
약속합니다.
생역학적원리에 충실한
투명교정치료
교정 생역학의 세계적 권위자 Ravi Nanda,
투명교정의 대가 Ojima 선생님이 저술한
‘투명교정의 원리와 생역학’ 의 한국어 번역서를 발간하였습니다.
당신의 치아에 · 당신의 미소에 ·
당신의 마음에
딱 맞는 교정치료
BaRunE’s
SPECIALTY
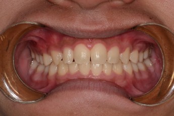
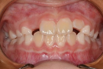
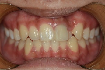
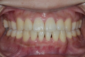
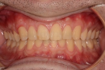
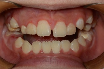
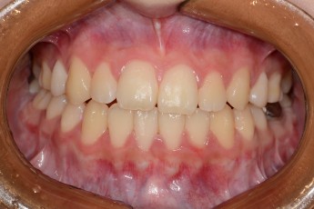
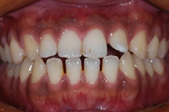
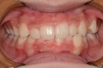
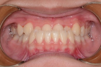
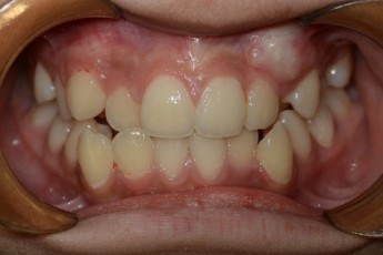
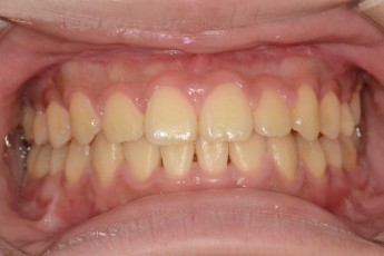
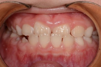
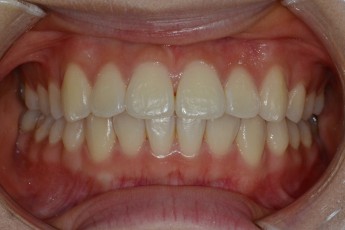
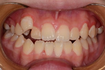
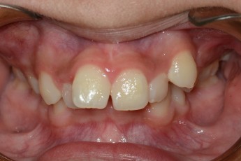
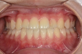
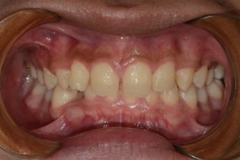
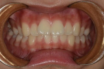
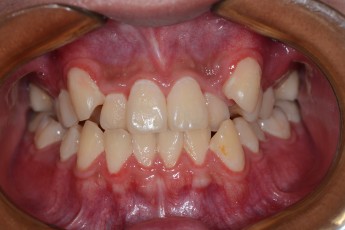
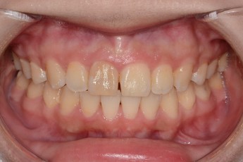
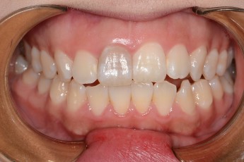
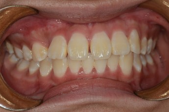
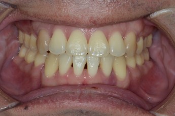
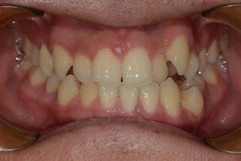
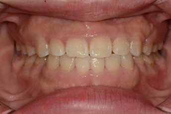
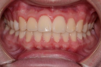
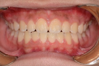
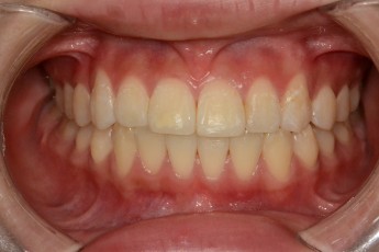
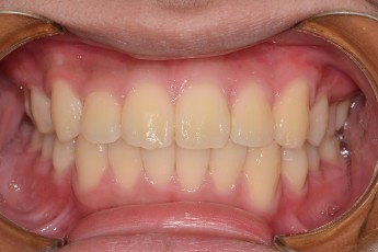
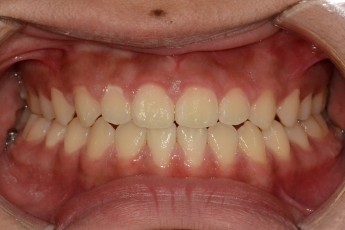
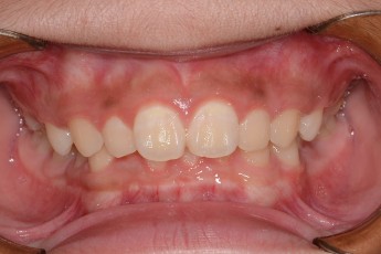
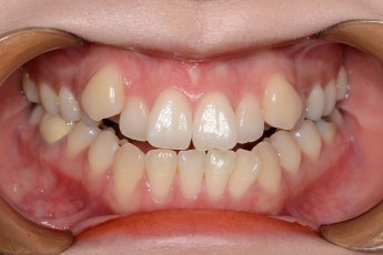
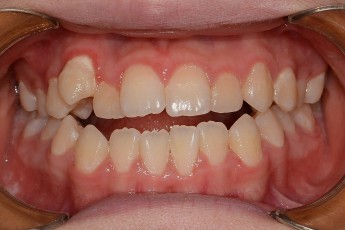
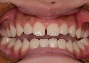
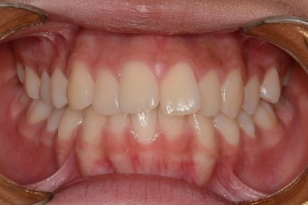
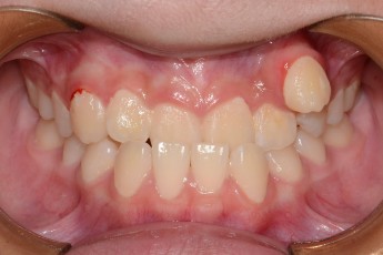
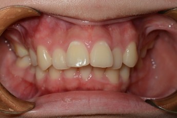
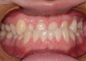
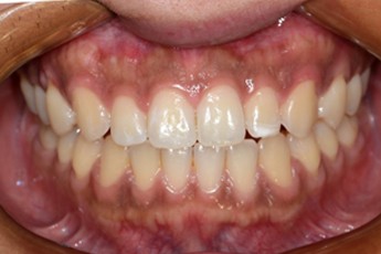
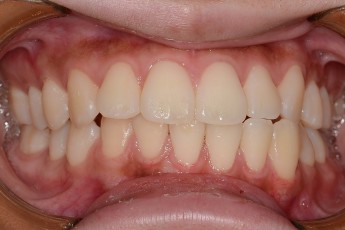
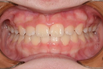
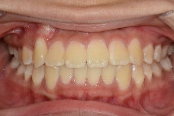
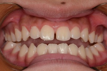
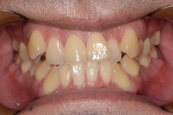
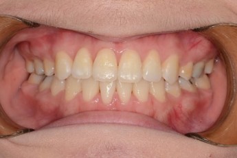
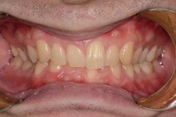
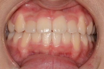
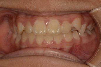
Before & After
- 덧니교정
- 돌출입교정
- 성장교정
- 반대교합교정
- 과개교합교정
- 개방교합교정
- 급속부분교정
- 비대칭교정
- 무턱교정
- 재교정
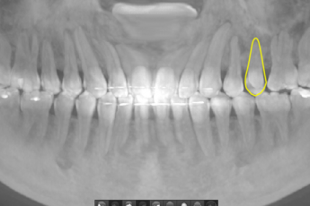
- 매복치교정
- 거미스마일
- 스페이스교정
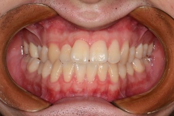
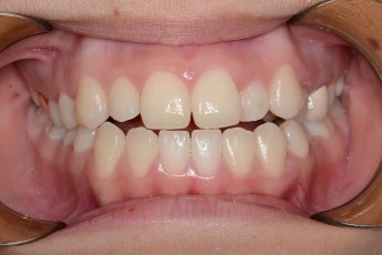
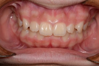
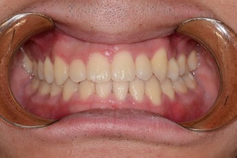
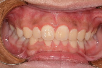
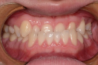
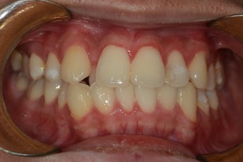
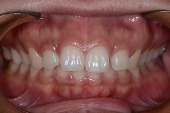
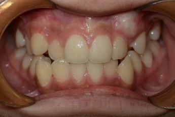
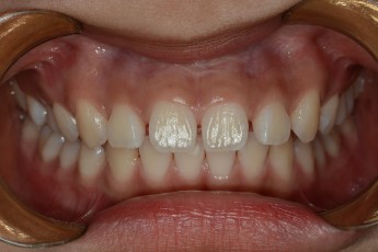
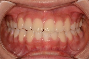
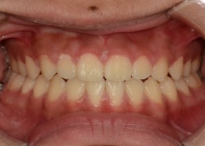
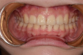
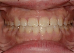
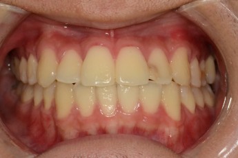
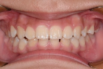
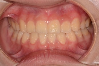
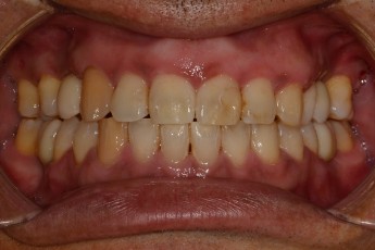
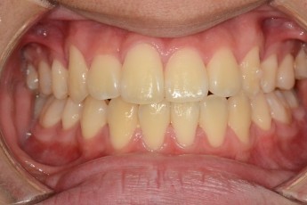
Before
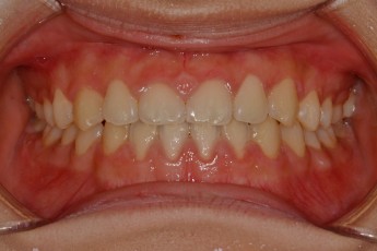
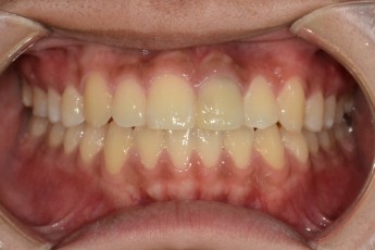
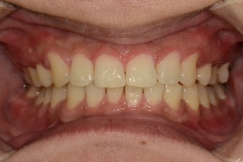
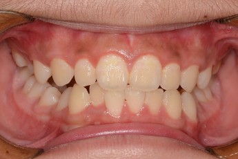
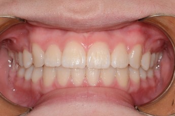
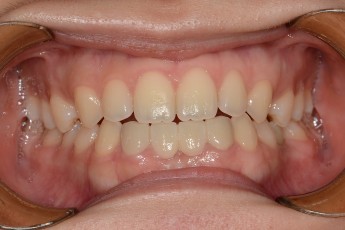
After
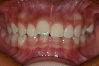
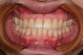
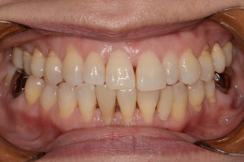
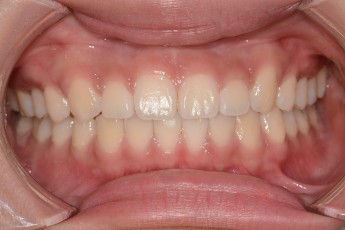
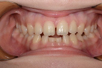
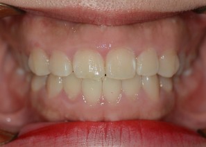
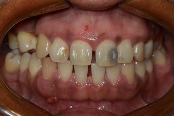
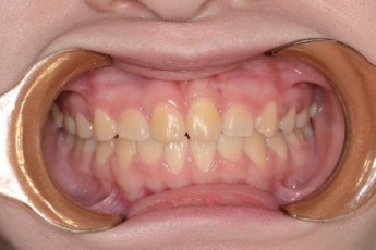
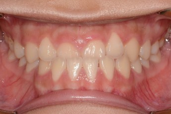
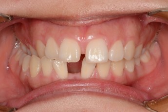
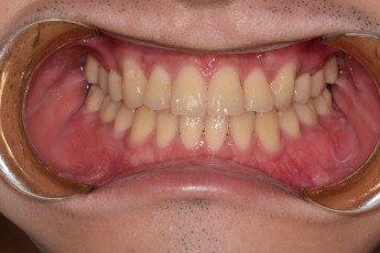
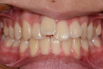
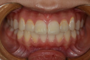
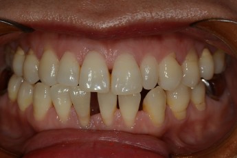
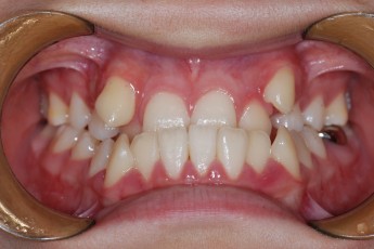
Before
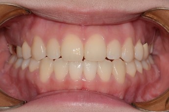
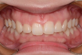
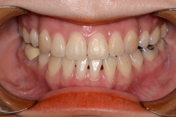
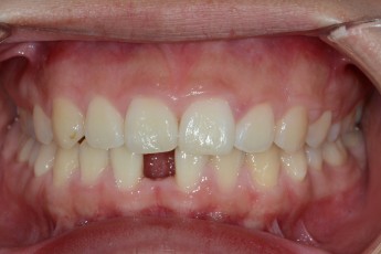
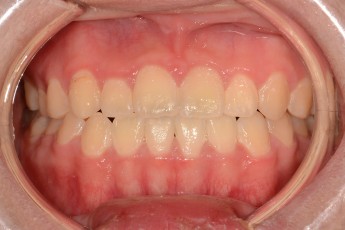
After
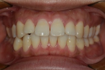
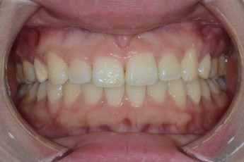
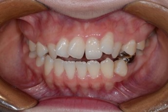
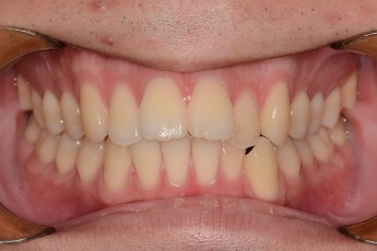
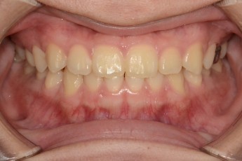
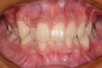
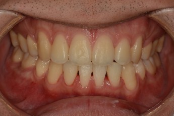
Before
After
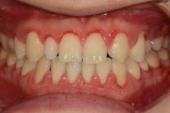
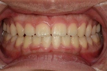
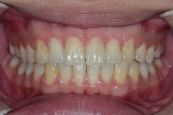
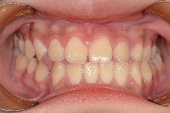
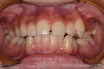
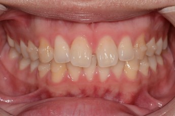
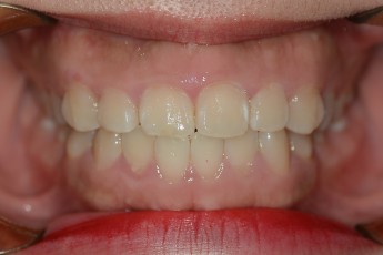
Before
After
Before
After
Before
After
Before
After
Before
After
Before
After
Before
After
Before
After
Before
After
Before
After
Before
After
Before
After
Before
After
Before
After
Before
After
Before
After
Before
After
Before
After
Before
After
Before
After
Before
After
Before
After
Before
After
Before
After
Before
After
Before
After
Before
After
Before
After
Before
After
Before
After
Before
After
Before
After
Before
After
Before
After
Before
After
Before
After
Before
After
Before
After
Before
After
Before
After
Before
After
Before
After
Before
After
Before
After
Before
After
Before
After
Before
After
Before
After
Before
After
Before
After
Before
After
Before
After
Before
After
Before
After
Before
After
BaRunE’s
Real Review
바른이치과교정과에서 치료받은 분들의 진짜 치료 후기를 확인해보세요!
빠른상담신청
↑개인정보 수집 · 이용 동의
- 1. 수집하는 개인정보 : 이름, 연락처
-
2. 수집 및 이용 목적 :
본인 확인 및 커뮤니케이션,
상담 안내 및 진행 - 3. 보유 및 이용 기간 : 상담 완료 시까지
*상기 개인정보 수집 및 이용에 대해 거부할 수 있으나, 거부 시 상담이 불가합니다.




064.746.7570