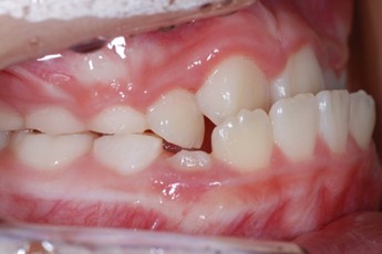
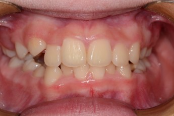
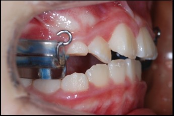
치료사례

BaRunE Dental Clinic

치료사례

⇄   Swipe

Total 10건 2 페이지
01

공지사항

  • 2026.05.19

    제 7회 브레이스 스마일 컨테스트

  • 2026.05.14

    6월 진료일정 안내

  • 2026.04.23

    5월 진료일정 안내

02

학술활동

  • 2026.05.04

    2026년 제 1회 투명교정 연구회 제1회 학술대회 강연

  • 2025.11.13

    2025년 KSDO 심포지엄 발표

  • 2023.11.08

    제 56회 대한치과교정학회 스태프세미나 강연

03

온라인상담

  • 2026.05.29

    상담문의 신청합니다.

  • 2026.05.13

    상담 문의 합니다.

  • 2026.05.08

    상담문의 신청합니다.

메뉴
바른이치과교정과치과의원

전화번호 064.746.7570

지도 상담 카카오톡 톡톡

TOP