소아,청소년 교정

BaRunE Dental Clinic

소아,청소년 교정

바른이치과교정과
3단계 소아청소년 프로그램

1차 검진

1차 검진

만 6세가 되면 교정 검진을 시작합니다.
(영구치 맹출시작 시기)

2차 검진

2차 검진

유치에서 영구치로 교환이 활발한
초등학교 3-4학년에 2차 검진을 받습니다.

3차 검진

3차 검진

영구치열이 완성되는 초등학교 6학년에서
중학교 1학년 시기에 3차 검진을 받습니다.

소아청소년 교정의 장점

만족도 높은 치료 효과
01

만족도 높은 치료 효과

적절한 시기에 이루어지는
소아청소년 교정을 통하여 빠르고
만족도 높은 치료 효과를 얻을 수 있습니다.

질환 예방에 도움
02

질환 예방에 도움

부정교합으로 발생할 수 있는 충치,
잇몸병과 저작기능 방해로 인한
소화기관 부담 등의 질환 예방에
도움이 됩니다.

자신감 상승
03

자신감 상승

외모에 관심도가 높아지는 시기인 만큼 컴플렉스 해결을 통한 자신감 상승과 성격 형성에 긍정적인 영향을 미칩니다.

소아청소년 교정
적용 대상

  • 아래턱이 돌출된 주걱턱 경향인 경우

  • 유치의 조기탈락, 영구치가 제때 나지 않는 경우

  • 위턱의 돌출 또는 무턱 경향

  • 기타 성장기의 부정교합

조기 치료의 필요성

조기 치료의 필요성

조기에 정확한 진단을 받아 성장이 완료되기 전에 가능한 빨리 균형있는
턱뼈 성장을 유도해야 합니다. 이 시기를 놓치면 성장 조절 치료로 가능한 경우가
턱 수술을 해야 될 상태로 심해질 수 있습니다.

소아교정이 필요한 아이는?

무턱

위턱 돌출 혹은
아래턱이 정상보다
작은 경우(무턱)

주걱턱

아래턱 돌출 혹은
위턱이 정상보다
작은 경우(주걱턱)

이가 나지 않는 경우

이가 나지 않는 경우

유치가 일찍 빠진 경우

유치가 일찍 빠진 경우

어린이 교정 장치의 종류

Facemask

Facemask

아래턱의 성장이 위턱보다 많아서 앞니가 거꾸로 물릴 때
사용하는 턱교정 장치입니다. Facemask를 이용하여 위턱은 잘자라게
도와주고 아래턱의 성장은 막아줍니다.

High Pull Headgear

High Pull Headgear

12세 전 아이들의 최적 치료법으로써 High Pull Headgear는
위턱 성장이 과도한 경우에 사용되는 턱교정 장치입니다.
위턱의 과잉 성장을 최대한 막아줍니다.

투명 교정장치

투명 교정장치

투명한 플라스틱 소재로 제작된 착탈식 교정장치로,
식사나 양치질 시 자유롭게
빼고 끼울 수 있어
어린이들의 일상생활에 불편함을 최소화합니다.
거의 보이지 않는 투명한 재질로 외모에 대한 부담 없이 교정치료를 받을 수 있습니다.

기능성 교정장치

기능성 교정장치

성장기 어린이의 턱뼈 성장을 유도하고 조절하여 부정교합을
근본적으로 개선하는 장치입니다. 골격적 문제를 조기에 해결할 수 있어
성인이 되어서 복잡한 치료를 받을 필요를 줄여줍니다.

쓰러진 어금니 세우기

어린이 예방교정

공간 관리를 통해 건강한 치열 만들기

유치가 일찍 빠지거나 충치때문에 쓰러진 어금니를 바로 세우고, 영구치의 자연스러운 맹출을 유도합니다.

어린이 예방교정

Functional Appliance

어린이 턱교정
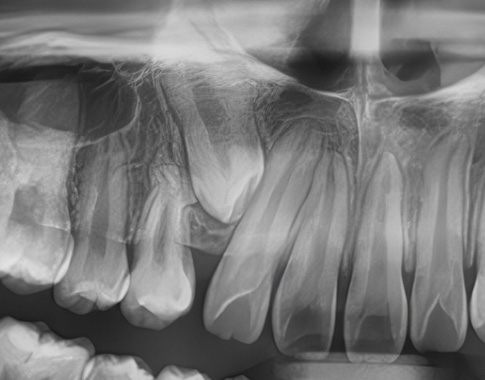
무턱

무턱
무턱

기능성 교정장치를 통해 작은 아래턱의 자연스러운 성장을 도와주었습니다.

  • 주증상

    입술돌출, 과개 교합, 무턱

  • 치료기간

    약 1년

  • 부작용

    치아표면의 탈회, 치은 부종, 치근흡수 등의 부작용이 있을 수 있습니다.

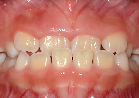
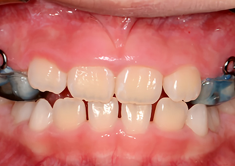
Anterior Cross bite

반대교합(주걱턱 예방)

주걱턱
주걱턱
주걱턱

주걱턱, 조기에 예방할 수 있습니다.
페이스마스크를 활용한 악정형 장치로 앞니 반대교합을 개선하고, 주걱턱을 미리 예방할 수 있습니다. 적절한 시기의 예방교정을 통해 자연스럽고 건강한 치열로 성장할 수 있도록 도와주었습니다.

  • 주증상

    전치부 반대교합

  • 치료기간

    약 6개월

  • 부작용

    치아표면의 탈회, 치은 부종, 치근흡수 등의 부작용이 있을 수 있습니다.

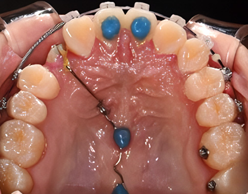
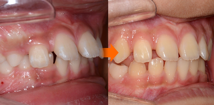
Impacted Tooth

숨어있는 치아교정,
매복치

매복치
매복치

매복치아나 늦게 나오는 치아 때문에 걱정되시나요?
교정치료를 통해 숨어있는 치아가 자연스럽게 나올 수 있도록 도와드립니다.
아이의 건강한 치아 배열을 위해 적절한 시기에 시작하세요.

01. Customized Treatment

맞춤형 교정치료를 통해 단순한 치아 배열을 넘어
삶의 질을 향상시키는 최고의 치료 결과를 추구합니다.
정밀한 진단과 개인별 맞춤 솔루션으로
아름다운 미소와 건강한 치아는 물론,
자신감 넘치는 일상을 선물합니다.
"치아에, 미소에, 마음에 딱 맞는 교정치료"
바른이에서 지금 시작하세요.

Customized Treatment

02. High Standard

바른이치과교정과는 '높은 표준의 안전한 교정치료' 를 통하여
장기적으로 안정성 있게 치료 결과를 유지합니다.
난이도 있는 어려운 치료일수록
더욱 빛나는 전문성으로,
복잡한 교정 케이스를 아름다운 얼굴의 모습과
고품질의 교합으로 완성합니다.

High Standard

03. Continuous Learning

바른이치과교정과는 함께 배우고 발전하는
집단지성을 통한 성장을 추구
합니다.
새로운 교정치료 기술을 동료들과 공유하고 나누는 과정에서
더욱 깊이 있는 학습과 새로운 아이디어가 탄생합니다.
모든 구성원이 선생님이자 학생이 되어
서로의 경험과 지식을 나누고,
기공팀과의 협력을 통해 통합적 사고를 만들어갑니다.

Continuous Learning
01

공지사항

  • 2026.02.25

    3월 진료일정 안내

  • 2026.01.22

    2월 진료일정 안내

  • 2025.12.28

    2026년 1월 진료일정 안내

02

학술활동

  • 2025.11.13

    2025년 KSDO 심포지엄 발표

  • 2023.11.08

    제 56회 대한치과교정학회 스태프세미나 강연

  • 2023.08.10

    2023년 호사교정연구회 창립 10주년 심포지엄 발표

03

온라인상담

  • 2026.02.22

    문의드립니다

  • 2026.02.15

    상담문의 신청합니다.

  • 2026.02.05

    상담문의 신청합니다.

메뉴
바른이치과교정과치과의원

전화번호 064.746.7570

지도 상담 카카오톡 톡톡

TOP